Radical Curiosity

https___bucketeer-e05bbc84-baa3-437e-9518-adb32be77984.s3.amazonaws.com_public_images_923e0a95-5cfe-467e-9fd6-3c35be1092db_1600x788.png

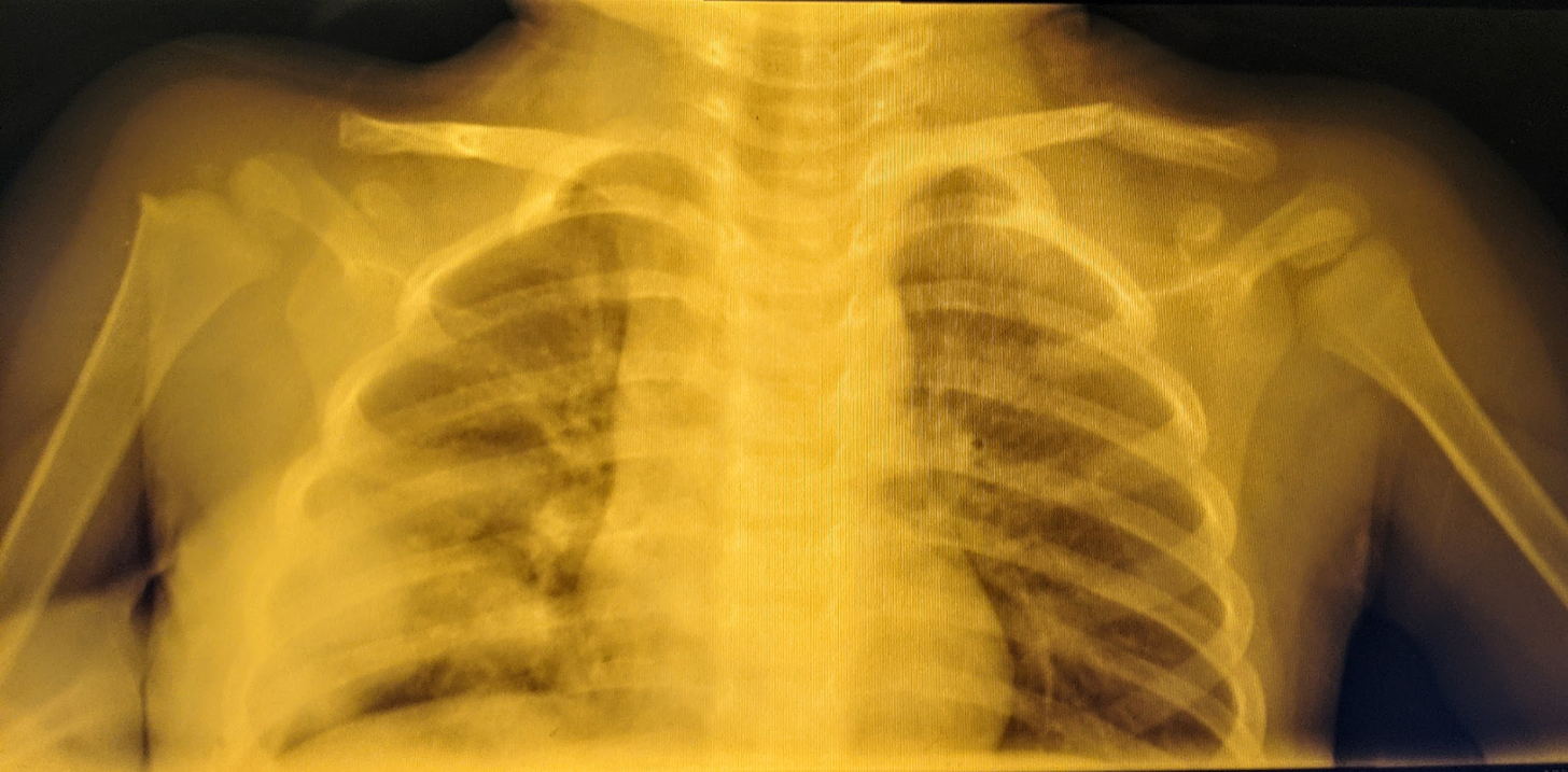
Last Sunday, only a few hours after I sent out my newsletter, my son fell and broke his collarbone. The doctor walked me through the X-ray reassuring me that this was a very common fracture among kids. But something bothered me deep down. There was a broken bone inside my boy and I knew nothing about bones or how they heal. 

The following day, I started binging videos of the bone healing process. A hematoma forms at first serving as the weak structure to hold the two pieces together. Cartilage-carrying cells then make their way down the swollen area slowly starting to rebuild the bone. A truly spellbinding process. 

In the midst of debriefing about the incident with our Nepalese nanny, I asked her how they diagnosed a broken bone in the remote village where she grew up. “If it’s swollen, it’s broken”, she told me. She went on to explain that to facilitate the healing, they would apply plants on the fracture. I wanted to find out more and after a few Google searches, came across a study demonstrating the efficacy of ethnomedicinal plants found in Western Nepal (the study was done on Swiss Albino Rabbits, a fact I’m confident I will never forget).   

I was now slightly less ignorant about bones. But perhaps most importantly, I had learned something about the power of curiosity in action.  

  • Experience is the spark of all knowledge bonfires: What I find interesting usually determines what I consume. This is a terrible way to approach knowledge. Pretty much the equivalent of putting blinkers on your mind. My son’s injury on the other hand taught me about the delightful serendipity of letting your curiosity be guided by experience. In his critique of traditional education, John Dewey laments the way children are taught by segregating knowledge from real-world experience. Any field of study, whether history, geography or natural sciences “must be derived from materials which at the outset fall within the scope of ordinary life-experience”, he argued. Our daily experience with these fields of knowledge, be it the use of electrical appliances or the consumption of food, are as many opportunities to learn.   

  • Ignorance is underrated: In a society where expertise is so highly valued, we have somewhat lost the art of celebrating ignorance. It is possible to go through life and confidently delegate all knowledge to doctors, psychologists, mechanics, gardeners and artists. It would have been fine to just go home with the doctor’s loose instructions to keep my two year old’s arm in a sling for the next four weeks. But I would have missed out on something. “Shoshin” is a Zen Buddhism concept meaning “beginner’s mind” or the dilettante's ability to approach an unknown subject with openness. There’s an intrinsic value in exploring areas we know nothing about. Not for the purpose of amassing more knowledge but because it is in those virgin lands that the mind is most free of biases and preconceptions.  

  • Curiosity is a state of mind: There is a plethora of articles on the internet about how to be more curious. The bucket list usually includes asking more questions, listening better and reading across a wide range of topics. These might be positive effects of curiosity but they’re not getting to its essence. Curiosity cannot simply be reduced to a skill that can be mastered by following a series of steps. It is the state of our mind when it is fully consumed by the external world instead of by itself. Curiosity is when we leave the comfort of our inner thoughts and experience the realization that all knowledge is connected. It’s as powerful as it is fleeting.    

On Friday, our nanny pointed at my son and said “he’s scratching his shoulder, it means the bone is healing”. I had no idea how the two could be related, I smiled and thought to myself, that’s truly amazing. 

Previous
Previous

How I learned to connect with my grandfather